インプラント治療は歯科界における「20世紀最大の発明」でQOL(Quality of life = 生活の質)を向上させています。
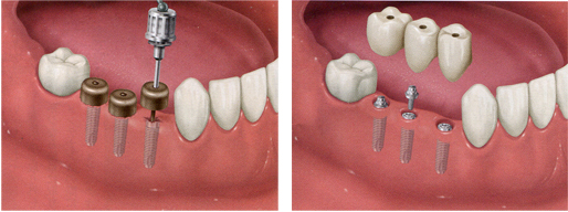
インプラント治療とは、手術によって歯を失った顎骨(あごの骨)の中に人工の歯根を植え込み、人工歯を取り付ける方法です。
あごの骨と人工歯根によって、しっかりと人工歯を支えることができるのです。
インプラント治療をすることで大きく3つの利点があげられます。
・違和感がなくしっかり噛むことができます。
・健康な他の歯を傷めずに治療することができます。
(歯が無くても治療可能)
・見た目が美しく、自然な発音。

インプラント治療とは
インプラントとは、乳歯、永久歯に継ぐ第3の歯と言われています。
通常、体の中に異物を入れると、免疫細胞が体の外に排出しようとします。
ですがインプラントに使用されているチタンには「生体親和性」というものがあり、 チタンには免疫が反応しないのです。
このチタンと生体の性質をうまく使ったのが、「インプラント治療」です。

インプラントの材質は体に害のない純チタン製の材質の本体に、最近話題のハイドロキシアパタイトという骨の成分の一つで、
骨と直接結合する材料を再結晶化してその表面にコーテイングしています。
そうすることにより、結晶性が高く、しかも人生体との親和性が高くなります。
チタンと骨の結合は、かなり強固でメンテナンスを行えば、長年問題なく使用できるようです。
また、咬む力は、自分の歯とほぼ変わりませんので、 以前と同様、食事に困ることはありません。

普段と変わりない生活
虫歯や歯槽膿漏、その他歯周病、怪我などで歯を失ってしまった場合、ブリッジや義歯(差し歯)、
入れ歯で無くしてしまった歯の代用治療を行いますが、 イン プラントの場合、周辺の歯と色が違ったり、
入れ歯の様にしゃべったり、笑った際に外れてしまったりすることも無く、
また取り外して洗ったりする必要も無くなり非常に快適に過ごせます。
完全に固定式なので、口元を気にせずに食事や会話ができるようになります。

噛む力、味覚が低下しない
虫歯や歯槽膿漏、歯周病、怪我などで
歯が抜けてもインプラント治療を行うことにより噛む力が戻り、食事の際の食感も入れ歯の様な味覚の低下はありません。
食事本来の味を楽しむことが出来ます。毎日の食事も生活する上での一つの楽しみです、楽しい食生活を送りましょう。

噛み合わせがよくなる
インプラントで歯を治療することにより、全体の噛み合わせのバランスが良くなり、
歯だけではなく顎や舌、唇や頬などの口腔内全体のバランスが良くなり、
体のバランス、つまり姿勢などにも良い影響を与えるようになります。
インプラントなどで歯のバランスを整えた結果、健康になったという患者さんがたくさんいらっしゃいます。
歯は痛みなどが我慢できなくなったなどの症状を伴 わなければ、治療に行かない人が多いのですが、
じつは全身の健康に影響を与えていると言われ、 大変重要な器官の一つなのです。
注意点
インプラントで歯を治療することにより、全体の噛み合わせのバランスが良くなり、
歯だけではなく顎や舌、唇や頬などの口腔内全体のバランスが良くなり、
体のバランス、つまり姿勢などにも良い影響を与えるようになります。
治療完了までにある程度の期間が必要になります。
また、注意してお口の中を清潔に保たないと、インプラントの寿命が短くなってしまいます。

インプラント治療の流れ
インプラント治療で行う手術は、決して難しいものではありません。しかし治療の前には、患者さまの十分な理解と同意を得たうえで詳細な治療計画を立てます。
治療の手順や手術法などをカウンセリングで丁寧に説明し、患者さまからの質問にもお答えして、疑問や不安を残さないようにします。また、インプラントを埋め込む位置や角度には正確さが求められますので、顎の骨の形状や骨の状態、血管や神経の場所などをレントゲン検査、 CT検査、写真撮影などで精密に把捉し、むし歯や歯周病の感染の有無、かみ合わせのチェックも行います。 検査が済んだらいよいよ診断です。患者さまの状態と、患者告まのご希望に合わせて、 歯科医側は治療方法やインプラントの種類などを選びさらに詳しい計画を立てていきます。

インプラント治療後も定期的に口の中を検査し、トラブルが起きないようにメンテナンスを行う必要があります。
定期健診を受けることで、インプラントの長期的安定を目指します。
インプラントを付けたら終わりではなくて、その後のメンテナンスが重要です。

一回法(フラップ手術)
歯科医師の技量と患者様の状態により行う方法
1回法は外科手術が1回で済むので、患者さまに心身のストレスがかかりにくいというメリットがあります。
治療にはインプラント体とアバットメントが一体化した1ピースタイプのインプラントを使用します。
手術の手順は、歯茎を切開して歯槽骨に穴を開け、インプラント体を埋め込みます。このとき、頭部を歯茎の外に露出させたまま、骨の結合を待ちます。
この間、仮歯を装着することもできます。数カ月後、 骨がしっかり結合したことを確認し、人工歯を装着したら完成です。
1回法はコストや治療期間を抑えられますが、アバットメントが露出しているため、感染リスクがやや高まりますので、骨や歯茎の状態が良好な人向けの手術法です。

無切開無痛手術(フラップレス)
歯ぐきの切開・剥離をしない手術方法
無切開無痛手術とは、一回法と同じく、条件が整わないと出来ない方法で、歯肉を切開・剥離せずに、歯肉に直径4mm程度の穴を開け(開けないときもあります)、
その穴からインプラントを埋入するため、身体に優しい手術方法です。

無切開無痛手術の利点
外科治療の基本は、手術野を目で見て確認しながら手術を行うことです。
無切開無痛手術は、術者がインプラントを入れようとしている骨の状態を直接目で見て確認することができないといった欠点があります。
無切開無痛手術は充分な経験をつんだ歯科医師が適応症を厳格に選定し、確実な準備が出来る場合にのみに選択されるべき手術方法だと考えられます。
二回法(フラップ手術)
昔からの基本的で安全な方法
目視によるフラップ手術では、歯茎を切開してはがし、顎の骨を露出させて手術を行います。
コンピュータ・ガイド手術とは異なり、 術者の目と手によるインプラント手術です。二回法では、外科手術を二回行います。
手術を2度行う2回法は、1回法よりも体への負担、治療期間や費用も多少多めになるのが一般的です。
しかし、安全性が高く、ぎまぎまな症例に対応できるのがメリットです。
まず1次手術で歯茎を切開し、インプラントを埋入します。ここまでは1回法と同じですが、2回法はインプラントを歯茎で覆って縫合し、骨と結合するまで3か月から5か月程度の間待ちます。
頭部が露出しないので細菌感染のリスクは1回法より低くなります。
骨が結合したら、2次手術で歯茎を再度切開してインプラントを露出させ、アバットメントを連結して歯茎を縫合します。
このときアバットメントには保讃用のキャップか促歯を装着しておき、歯茎の傷が治ったら、人工歯を取り付けて完成です。

オールオンフォー(ALL ON 4)
歯が一本無い無歯顎の患者様に行う方法
All-on-4は、総入れ歯をお使いの方や多くの歯をなくした方のための最先端のインプラント治療法です。
従来インプラント治療を行う場合、骨の移植をするなど、8~14本のインプラントを埋め込むのが一般的でした。
そのため手術時間が長くなり、 術後の腫れも大きく、費用がかさむという不安要素がありました。
All-on-4は、わずか4本(場合によっては6本で、All-on-6と呼びます)のインプラント体で、10~12本の人工歯を支える治療法です。
All-on-4は、前歯部分に2本、左右の奥歯に各1本ずつインプラントを骨のある部分へ斜めに埋め込み、力強く広く均等に配分することにより、
最小4本のインプラントで全ての人工の歯を支える事に成功した治療方法です。
手術や費用の負担を必要最低限に抑えた新しいインプラント治療法。それがAll-on-4です。

4本のインプラントを埋め込んだお口の中インプラントを斜めに埋め込むことにより、噛む力をインプラント上に広く均等に分配できます。

最終ブリッジを取り付けた状態

