
矯正歯科とは
歯は力を加えられた方向に移動する性質があります。歯に矯正装置を装着し一定の力を持続的にかけて少しずつ動かし不正咬合を治すのが歯列矯正です。
歯並びが悪いと、見た目がよくないだけでなく、消極的な行動など精神的や健康面においても様々な悪影響を及ぼす可能性が有ります。
矯正歯科治療を始める前に、健康への影響や、歯が動く仕組みなど、基本的な事を知っておく必要が有ると考えています。
これまで日本では、欧米ほど歯並びに対し、関心を向けていませんでした。
「八重歯がかわいい」、「出っ歯は愛嬌がある」などと、肯定的に捉える見方も有りました。
しかし歯並びの悪さには、見た目だけではない、数々の問題があることが近年の調査でわかってきています。

歯並びの悪さの問題点
- ●むし歯・歯周病の原因になる
- ●発音が悪くなる
- ●咀嚼に影響し、消火器に負担をかける
- ●健康への悪影響
- ●運動能力の低下
- ●社会的な影響


治療のメリット・デメリット
| メリット | デメリット |
|---|---|
| ●バランスのとれた顔立ちになる ●容貌に自信が持て口元を隠さず人前で笑えるようになりコンプレックスを解消する事が出来る ●むし歯や歯周病にかかりにくくなる ●発音が明瞭になる ●噛み合せが良くなり、顎の痛みや肩こり、頭痛、めまいなどが暖解することがある |
●審美的な問題 ●むし歯・歯周病のリスク ●治療中の痛み ●費用面の負担 |
治療の対象となる不正咬合の種類
| 叢生 (そうせい) |
歯がねじれたり、重なり合ったりして歯並びが凸凹している状態をいいます。 乱杭歯(らんぐいば)とも呼ばれる。八重歯も叢生の一種。 |
|---|---|
| 上顎前突 (じょがくぜんとつ) |
上の前歯が下の前歯より極端に前に出ている状態のことで、いわゆる「出っ歯」。 |
| 下顎前突 (かがくぜんとつ) |
正しい噛み合わせは、上の歯が下の歯の上にかぶさる状態ですが、下顎前突はその反対になっています。「受け口」とも呼ばれてます。 |
| 開噴 (かいこう) |
「オープンバイト」とも呼ばれます。上下の歯を噛み合わせた時、奥歯は噛み合うのに、前歯が噛み合わず、隙間が空いている状態。口を開けると、前歯の間から舌が見えてしまうのが特徴。 |
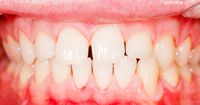
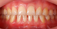
不正咬合の治療前・治療後
| 種類 | 治療前 | 治療後 |
|---|---|---|
| 叢生 | ![]() |
![]() |
| 上顎前突 | ![]() |
![]() |
| 下顎前突 | ![]() |
![]() |
| 開噴 | ![]() |
![]() |
実際の治療の流れ
| ●ステップ1 カウンセリング 初診 |
歯並びや噛み合わせなど、不具合や気になる点について、カウンセリングを行い、 歯や口腔内を視診するなどの診察を行います。 |
|---|---|
| ●ステップ2 精密検査 |
歯の写実、顔の写真、歯や頭部のⅩ線検査、歯列の模型採取など、
治療計画に必要となる詳細な検査を行い、顎の大きさや歯並びの状態を分析します。 症状によっては、顎関節のⅩ線検査や顎運動の検査を行うこともあります。 |
| ●ステップ3 治療計画の説明 |
精密検査の結果をもとに、治療方針や治療計画の説明を行います。 不正咬合の診断のほか、どのような治療を行うのか、治療期間、使用する矯正装置、抜歯が必要かどうか、 費用や支払い方法などについて詳しい説明をさせて頂きます。 |
| ●ステップ4 治療のための準備 |
矯正歯科治療中はむし歯になりやすいため、正しい歯みがきの仕方について、ブラッシング指導を行います。 むし歯や歯周病がある場合は、事前に治療が必要になる場合もあります。 |
| ●ステップ5 矯正装置の装着 |
ブラケットやワイヤーを装着し、動的治療を開始します。通常は歯の表側に装着するが、 目立たないように歯の裏側に装着する方法もあります。 |
| ●ステップ6 矯正装置の調整 |
矯正装置をつけている間は、約1カ月に1回のペースで通院し、歯の状態をチェックし、 歯並びが整うように装置の調整を行います。矯正装置の装着期間は治療方法によって異なり、 個人差もありますが、2~3年が目安です。 |
| ●ステップ7 保定期間 |
歯が移動し、歯並びが整ったら、矯正装置を外し、歯がもとに戻ろうとするのを防ぐために、
「リテーナー」と呼ばれる保定装置をつけます。保定期間は2年程度が目安で、
3~4カ月ごとに通院して、歯並びの状態をチェックします。 リテーナーは取り外し可能なものが多く、食事や歯みがきは取り外して行います。 |
| ●ステップ8 治療完了 |
保定期間が終わったら、矯正治療は終了となりますが、きれいな歯並びを長持ちさせるためにも、 特にむし歯や歯周病に羅患しないように、定期的に一般歯科医院などに通院し、口腔内のケアを行うことをお奨めします。 |

床矯正装置
床矯正(しょうきょうせい)は、患者さんご自身が取り外しができる矯正装置の1つです。
通常の矯正をする場合は、口を開けると矯正装置が見えるため、嫌がるお子様も多いかと思われます。
床矯正治療では、装置は患者さんご自身で取り外しが可能ですので、1日に12~14時間装着いたします。また装置に埋め込まれているスクリューを週に決められた回数巻くことにより装置が拡大し、顎が成長し、歯を並ぶスペースを確保し歯並びがよくなります。

マウスピース矯正装置
マウスピース矯正は、1つのマウスピースで移動できる歯の移動量が最大で約1mmと限られています。そのために、適切な位置へ歯を移動させるためには数段階のマウスピースが必要となります。










