成人の多くが歯周病にかかっています。
生活習慣病との関連が大きく位置づけられています。
その治療は「歯をきれいにすること」が一番です。
治療の多くは保険が適応されます。
歯(口腔内)をきれいにして身体全体を健康にする為のお手伝いをさせて頂きます。

歯周病とは
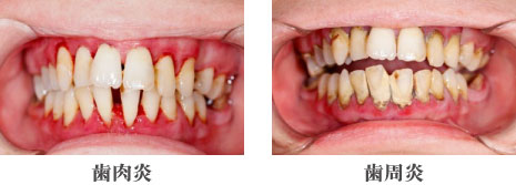
歯周病は、炎症が歯肉(歯ぐき)におこる歯肉炎と歯槽骨を含めた歯周組織にまで炎症が広がった歯周炎の総称で歯周疾患とも呼ばれます。
歯肉にのみ炎症が起こっている段階を「歯肉炎」、歯周組織に炎症が広がってしまった段階を「歯周炎」といい、これらを総称して、「歯周病」と呼びます。
歯周病の初期に当たる歯肉炎の段階でしたらで歯垢(プラーク)や歯石をしっかり除去すれば、その後、生活習慣の改善と口腔内ケアを自身で行えば、健康な歯肉を取り戻すことが出来ます。
しかし歯周炎にまで進行すると、歯と歯肉との間に歯周ポケットという溝ができてしまっているため自身の努力では改善出来ません。歯科医師による治療が必要です。

歯周病の特徴
歯周病の特徴として、その多くははっきりとした症状が出ないまま進行し、数年かけて重症化して行くことです。
歯周病は、加齢とともにリスクが高まり、歯を失う大きな原因となりますが、このほかにも、全身の様々な病気に悪影響を及ぼすことが明らかになっています。
歯周病と全身疾患の関係
歯周病の原因となる歯周病菌が口腔内で増えると、それが血管を介して全身に広がります。
そして全身の様々な場所で微少な炎症を誘導し、多くの疾患の引き金になったり、重症化させたりします。
なかでも注意が必要なのは糖尿病で歯周病を併発している患者さんは、糖尿病の治療をしても、なかなか血糖値が下がらない傾向で、糖尿病を悪化させる面があるようです。

逆に全身疾患が歯周病を進行させる場合もあります。
例えば糖尿病の場合、血流が悪くなるため、歯周組織に酸素や栄養が十分に行き届かなくなり、歯周病の原因となる菌が増加します。
また、全身の免疫力も低下して、菌を排除する働きが弱くなり、歯周病が重症化します。
他に歯周病と関係の深い疾患としては、心血管系疾患、細菌性心内膜炎、誤嚥性肺炎、低体重児出産、糸球体腎炎、関節リウマチなどがあります。
歯周病を予防・治療することはこれらの疾患の予防・治療にもなります。
歯周病になる一般的なプロセス
歯は、歯肉・セメント質・歯根膜・歯槽などの「歯周組織」によって支えられており、
容易には抜けないようになっています。歯周病は、その歯周組織が侵される病気です。
健康な状態でも、歯と歯肉の境目には、小さな溝(歯肉溝)があり、汚れがたまりやすくなつています。
歯みがきなどで汚れを取り除いていれば問題ありませんが、ケアを怠っていると、
この溝にネバネバとした物質がたまり細菌がすみつきやすく、やがて細菌の塊であるプラークが形成されます。
プラークを放置してすると、歯肉に炎症が起こって赤く腫れ、歯と歯肉の間の溝が広がって「歯周ポケット」が形成されます。
プラークは、当初は軟らかいので、歯みがきなどで取り除くことが可能ですが、ケアを怠りますと徐々に硬くて除去しにくい歯石へと変化します。
歯周ポケットのなかにプラークや歯石が付着すると、ポケットはますます深くなりますが、この段階で、プラークや歯石を取り除く治療を受け、
自分でも歯みがきなどの適切な口腔のケアに努めれば、歯周ポケットは概ね元に戻ります。
しかし、ケアを怠り放置を続けていると、歯周ポケットのなかで菌が繁殖し、ますます深くなり、歯周組織の炎症も広がって、
歯槽骨が溶かされ、歯を支える土台がすべてなくなって、ついには歯が抜け落ちてしまいます。

歯周病なりやすい人
- ①中年以降
- ②喫煙している・ストレスが多い・肥満であるなど、生活習慣に問題がある
- ③もともとなりやすい体質(遺伝)
- ④尿病などの免疫力が低下する病気を持っている
喫煙は、有害物質が末梢血管の循環障害、局所免疫機能の低下組織修復機能の低下を引きお越し、プラークを増加させて炎症を大きくします。
なお男性よりも女性のほうが、歯肉炎になりやすい傾向にあります。
「妊娠性歯肉炎」は、女性ホルモンが多く分泌きれるために、歯肉が腫れる病気です。
生理中に女性ホルモンが上昇すると発症する「思春期性歯肉炎」もあります。
また、閉経後の骨粗しょう症と歯周病との関連についての研究論文も増えています。

歯肉炎の段階
- ・歯肉が赤く腫れる程度です。
- ・朝起きた時に口のなかがネバネバする。
- ・歯みがきをしている時に出血する。

歯炎周の初期
初期は歯肉炎と同様で、歯肉が腫れ、歯みがきをしている時に出血する程度です。歯周病菌が繁殖し、腫れたところから膿が出ていると、口臭を伴うことがあります。
歯周炎の中期
口臭が強くなり、歯肉がやせて、歯がぐらつき始めます。
重症化すると
口臭、歯のぐらつきが進み、痛くて物を噛めない状態になり、やがて歯が抜け落ちてしまいます。
歯周病は、「見た目はきれいでも、歯科医院でレントゲンを撮ってみたら、歯槽骨が失われていた」ということがあります。
知らないうちに進行してしまうことが多いようです。
歯肉に違和感がある時は、まずは歯科医師に相談してみましょう。


- ①歯周ポケットの検査
- ②歯周組織の状態を診る
- ③Ⅹ線検査
の3つによって診断され、その後の治療方針が決まります。
まず行われるのは歯周ポケットの検査で、目盛りのついた細い棒状の器具を、歯と歯肉の隙間に入れて、ポケットの深さを測ります。
この深さをプローピングデブス(PD)といいます。
歯周ポケットの深さ
- ●Pl…PDの値が0~3 ㎜。正常、あるいは軽度の歯周病。
- ●P2…PDの値が3~5㎜。軽度、あるいは中等度の歯周病。
- ●P3…PDの値が5~6 ㎜。中等度、あるいは重度の歯周病。
- ●P4…PDの値が6 ㎜以上。重度の歯周病。
なおP3以上になると、治療をしてももとの状態に戻すのは困難です。

歯周組織の状態のチェック
歯肉が赤く腫れていないか、出血や膿の有無など
Ⅹ線検査
歯槽骨減少のチェック若年性の歯周病(侵襲性歯周炎)などの場合では、歯肉の炎症は少ないのに、 歯槽骨がほとんどないということがあるので、Ⅹ線検査は欠かせません。

歯周病に影響を与える全身疾患にかかっている場合は、内科の主治医と連携して治療を進める必要があります。
軽度、中度、重度であつても、治療でもっとも大切なのは、自身の努力です。
治療の基本は、正しい歯みがきと歯科衛生士によるプラーク・歯石の除去です。
また、禁煙・肥満の解消・ストレスの軽減など、生活習慣を改善することも重要で、
全身疾患がある場合には、その治療も併せて行います。
歯周ポケットがPl~P2で歯槽骨にも異常がない軽度の場合
歯科衛生士によるプラーク・歯石の除去などの処置とブラッシング指導、
自身の努力で歯周病を治すことができます。
歯科衛生士が行う処置には、「ルートプレーニング」と「スケーリング」があり、プラーク・歯石を除去し、歯をクリーニングします。
キュレートという器具を使って、歯周ポケットの奥のプラーク・歯石を取り除くとともに、歯根面を滑らかに整えます。
スケーラーという器具を使って、歯周ポケットのプラーク・歯石を除去します。
プラーク・歯石の除去後は、患者さん自身が、正しい方法で歯みがきを続け、歯周病の進行防止に努めます。
歯周ポケットが5 ㎜以上(P3)の場合s
プラーク・歯石の除去や、ブラッシング指導など、基本的な治療では歯周病が改善されない場合や、一般的に歯周ポケットが5 ㎜以上(P3)の場合は、歯周ポケットを解消するための外科的な治療が必要です。
外科的な治療法としては、歯周ポケット内の炎症歯周組織を掻き出して除去する「歯周ポケット掻爬術」、
メスを使って歯肉を切開し、内側についた歯石や病的な歯周組織を取り除いた後、歯肉を縫合する「フラップ手術」などがあります。
これらの手術を行うと、歯周ポケットがなくなり、歯肉が引き締まり、健康などンク色の状態に戻ります。
ただし、デメリットもあります。
破壊され減少した歯槽骨はもとに戻らないため、歯を覆う歯肉が下がってしまい、見た目が悪くなります。
また、歯根が露出し、知覚過敏を引き起こすこともあります。
歯根の露出が一部の場合は、「根面被覆術(歯周形成外科手術)という方法で歯肉を戻すことも可能です。ただし、歯の全周に渡って歯根が霹出している場合は、適応にはなりません。
歯槽骨は、前述の歯周ポケットを解消する外科的治療では修復することができません。
そのため近年、歯槽骨を蘇らせる歯周組織の再生治療が行われるようになってきています。
現在、よく行われているのは、「GTR法」と「エムドゲイン療法」の2種類です。
歯肉の修復スピードは、歯槽骨や歯根膜などに比べて早い。そのため、歯周病によって歯槽骨が破壊され、スペースができると、
そこに歯肉上皮が侵入し、歯根膜や歯槽骨の回復すべきスペースを奪ってしまいます。
そこでGTR法では、フラップ手術の際に、歯肉と歯根膜の間に特殊な膜を入れます。この膜が歯肉上皮が侵入するのを防ぎ、歯根膜や歯槽骨の成長を促します。
歯周組織の再生を誘導するエムドゲイン・ゲルと呼ばれるゲル状の薬剤を、GTR法と同様に、フラップ手術の際に、病巣部に流しこみます。
大学病院など一部の施設では、最新の再生治療として、「塩基性線維芽細胞増殖因子(FGF-2)法」の臨床治験が行われています。
これもエムドゲイン療法と同様、歯根の再生を促す薬剤を流しこむ方法で、条件によっては高い治療成績が期待できる様です。
これらの再生治療は非常に画期的なものとして注目されているが、すべての歯周病の患者さんを救えるわけでは有りません。
歯の全周で歯肉が退縮している場合や、重度の歯周病では、適応にはなりません
歯周病がそこまで進行する前に治療を始めることが重要になります。
歯周ポケットが全周に渡って6 ㎜以上(P4)の状態になると、歯がグラグラするだけでなく、食べ物を噛むだけでも痛みが出るようになります。
ここまで進行した場合の治療法に抜歯があります。
歯周ポケットが10㎜ほどにもなると、痛みを我慢して歯を温存しても、改善する可能性はほとんどないばかりか、
歯周ポケット内で増殖している歯周病菌が周囲の歯にも悪い影響を与えます。
例えば5 ㎜の歯周ポケットが歯の全周にあると、28本の歯の炎症部位は72㎠になります。
1㎎のプラーク中には1億~10億個の細菌が存在するといわれているので、表面積が72㎠の歯周ポケットのなかには、
天文学的を数の歯周病菌がすみついていることになります。
歯周病の歯を抜けば、当然ながら歯周ポケットもなくなりプラークや歯周病菌も、一緒にすべてなくなります。
抜歯によって ほかの歯や、ひいては全身への悪影響を防ぐことができるのです。
抜歯後は、ブリッジや入れ歯、インプラントなどの処置により、なくなった歯を補う治療を行います。

生活習慣を改善
治療後は歯みがきなどの適切なケアを続けて、歯周病の再発を防ぐ事が大事です。
歯周病の予防では、歯みがきの励行のほか、生活習慣の改善も大切です。歯周病と関係が深い、糖尿
病などの生活習慣病の予防・治療のためにも、以下のことを心がけ、全身の健康が歯の健康にもつなが
ります。
- ●規則正しく、栄養バランスのよい食事をする。
- ●十分な睡眠をとる。
- ●ストレスを上手に解消する。
- ●禁煙する。

